インプラント治療
インプラントは、歯根部分と上部構造からなり、顎の骨の中に人工歯根を埋入し、数ヶ月間(約3ヶ月~6ヶ月)期間をおくことにより、顎の骨としっかり固定された後に上部構造を装着します。人が物を噛むときの力は、想像以上に大きいものですが、顎の骨に埋め込むことで、天然歯と同じように噛む機能を改善し、強く噛むことも可能です。また上部構造の歯冠の色や形も、最新の歯科技術によって、自分の歯と同じように作ることが可能です。
● インプラントはこんな方に最適です!
- 入れ歯(義歯)がガタついたり、気になって思うように噛めず食事がおいしくない
- 入れ歯が動くため発音、発声がおかしくなり、しゃべりにくくなった
- 営業職、調理師、タレントなど職業的、審美的に入れ歯では困る
- 入れ歯を入れることが精神的に負担になっている
- 事故などで歯が折れたり抜けてしまった
● インプラントとブリッジの違い

- 義歯では固い食べ物を満足に噛ことができませんが、インプラントは強い力が加わっても大丈夫です。インプラント治療は従来のブリッジ治療と違い、周りの歯を傷つけません。 従来の入れ歯治療やブリッジ治療と違い、周りの歯に食べかす等が付着しにくいため、周りの歯の虫歯が従来の入れ歯治療やブリッジ治療と比較して出来にくいものとなっています。

- 従来のブリッジで治療する場合には、隣の健康な歯を削らなければならないだけでなく、装着後もずっと隣の歯に負担をかけてしまいます。一方で、治療が簡単で比較的短期間で済む、通常の入れ歯の治療で、一般的な材質や方法を選べば治療費が安いなどのメリットがあります。
● インプラント治療の流れ
検査と治療計画-
失われた歯の数、インプラントを埋め込む骨の硬さ、厚さ、高さ、位置により治療法には様々な選択肢があります。歯にかかる力の方向や強さはもちろん、患者さんに無理のない衛生管理などを含め、総合的に検討したうえで治療計画が立てられます。

1次手術-
歯ぐきを切開し、インプラントを埋め込みます。

治癒期間-
一次手術後、下顎で3ヶ月・上顎で6ヶ月ほどの治癒期間をおくことで、インプラントと骨が強い力でくっつきます。 (オッセオインテグレーション)。この期間、仮の歯を使用できることもあります。最近では、インプラントを入れて、その日に仮歯を入れることも可能です。
2次手術-
歯茎を開いて人工の歯を取り付ける準備をします。この状態で歯茎が治るまで1~6週間おきます。

人工の歯を製作・装着-
歯茎が治った時点で型を取り、人工の歯を作ります。形や色などは患者さんに合わせて製作しインプラントに取り付けます。

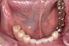
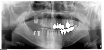
● インプラント治療の症例
- ■ 保証される内容は?

ガイドアソシエイツ認定の歯科医師によるインプラント治療を受けていただいた患者様に対し、術後10年間、万が一問題が生じた場合、インプラント保証規約に基づきガイドデントアソシエイツ登録歯科医師が責任を持って再治療を行います。ガイドデントアソシエイツ認定の歯科医師によってインプラントの治療が完了した時点で、患者様宛に「インプラント保証加入証書」が発行されます。下記のような場合、無償で再治療を受けることができます。
- インプラント手術完了後、インプラントの瑕疵によりインプラントが折れた。
- インプラント手術完了後、上部構造が破損した。(例:スポーツ中の事故、階段から誤って転落、堅いものを食べて欠けてしまった等)
- ■ なぜ、保証があると安心?
当院は定められた資格条件に基づきガイドデントアソシエイツの認定を受けております。認定された歯科医師によるインプラント治療は引受保証会社である株式会社アイジーエスと海外の優良再保証機関の保証を受けるに値する優れたインプラントの再手術、再治療等のケースは稀ですが、万一の場合に備えて保証制度があることで、確かな安心をお届けできます。
- ■ ネットワークで保証いたします。
患者様の転居等による地理的な条件で、主治医による再治療ができない場合は、認定ドクターのネットワークより医師をご紹介いたします。これからも患者様に安心して治療を頂けるよう、日本全国のガイドデントアソシエイツ認定医師間で連携を取りながら、ネットワークの充実を図ってまいります。
- ■ 定期メンテナンスをお願いします。
-
インプラント治療は、専門医による定期メンテナンスによってその効果を最大限に、また、長時間安定した状態を維持することが可能です。そのためにも患者様による定期メンテナンスのご協力が必要条件となります。この保証システムは患者様が術後の定期検診を受けていただくことが再治療を受けられる条件となっており、歯科医師と患者様の双方が協力し合って良好な治療結果を長期間維持する理想的な術後環境を前提に成り立っています。
● インプラント 価格表
※価格は税込み表記です。
| 基本料金 | フィクスチャー 275,000円 上部構造 110,000円(単冠) 診断料 33,000円(CT撮影込み) |
|---|---|
| ガイドオペ料 | 1歯 55,000円 2~4歯 66,000円 5歯以上 77,000円(片額) ※上下の場合は、該当金額×2となります。 |
| その他 | 骨移植/サイナスリフトなど付随する施術に関しては別途料金となります。 口腔内の状態により施術の内容を価格には詳細にご説明させていただいております。 |




